Röntgen
Für Röntgenbilder zu HD, OC(D) der Schulter und ED bitte nur aktuelle Formulare verwenden.
Sie können gerne analoge Röntgenbilder (HD, ED, OC(D)) auf dem normalen Postweg schicken. Bitte beachten Sie, dass die, für die Identifikation des Hundes nötigen Daten, gut lesbar auf den Bildern aufbelichtet sind. Folgende Daten müssen vorhanden sein:
– Name des Hundes
– Rasse (DD)
– Zuchtbuchnummer
– Chipnummer
– Datum der Röntgenaufnahme
Weiterhin sollten vorhanden sein:
– Wurftag
– Geschlecht
Die Formulare, die für die Auswertung der Röntgenbilder ausgefüllt und beigelegt werden müssen, finden Sie auf dieser Seite.
Falls Sie digitale Röntgenbilder einsenden möchten, ist dies nur über das Internetportal www.myvetsxl.com möglich. Loggen Sie sich ein und laden Sie die Bilder bitte unter dem Menüpunkt: GRSK Röntgenbilder hochladen und befunden.
Sollten Probleme beim registrieren auftreten können sich über info@myvetsxl.de oder info@vetz.de, Hilfe holen.
(homepage: www.vetz.de oder www.myvetsxl.com)
Keine CD’s oder DVD’s.
Bei Schwierigkeiten wenden Sie sich bitte an die Firma Vetz, Veterinärmedizinisches Dienstleistungszentrum (VetZ) GmbH
Sattlerstraße 40
D-30916 Isernhagen
Telefon: +49 5136 9710 0
Telefax: +49 5136 9710 499
E-Mail: info@myvetsxl.com
Die ausgefüllten Formulare müssen auch im Fall der digitalen Übermittlung im Original zu uns gesendet werden. Ihre Unterschrift und die Unterschrift Ihres Tierarztes ist notwendig.
Die Auswertungsgebühr von 38 Euro je Auswertung (HD 38 Euro, OC(D) 38 Euro, ED 38 Euro) muss vor der Auswertung der Bilder überwiesen werden.
Kontonummer: 202 828 359
BLZ: 783 600 00
IBAN: DE87 7836 0000 0202 8283 59
BIC: GENODEF1COS
Geben Sie bitte im Verwendungszweck den Namen und die Zuchtbuchnummer des Hundes an. Falls Sie noch weitere Fragen haben, kontaktieren Sie mich bitte per E-Mail oder auch telefonisch. Die Bankverbindung finden Sie auch auf den jeweiligen Formularen.
Sie können die Formulare unter Download Formulare herunterladen.
HD Lagerung
Röntgenlagerung ED
1. eine seitliche Aufnahme (latero-lateral)
Hierbei sollte die Gliedmaße ca 45 Grad gebeugt sein. Das Gelenk sollte im Röntgenzentralstrahl positioniert werden.
2. eine cranio-caudale Aufnahme ( Hund liegt hierbei auf der Brust ) Ideal wäre wenn der seitliche Rand des Ellbogenfortsatzes (Olekranon) am seitlichen (lateralen) Oberarmrand (Humerusrand) anliegt.
Auch hier sollte das Gelenk einigermaßen in der Mitte der Röntgenkassette (Zentralstrahl) zum Liegen kommen. Bitte das Röntgen ohne Raster durchführen, d.h. die Kassette wird auf den Tisch gelegt. Als Kassettengröße wird das Format 13×18 cm empfohlen.
ED-cranio-caudal optimal
ED-latero-lateral optimal
Jedes Bild muss fälschungssicher beschriftet sein.
Röntgenlagerung OC(D)
Jedes Bild muß fälschungssicher beschriftet sein.
Gelenk sollte auch hier im Zentralstrahl liegen.
Das zu röntgende Bein liegt auf dem Tisch auf und wird kräftig nach vorne (kranial) und das obere Bein wird kräftig nach hinten (caudal) gezogen.Der Kopf und der Hals wird Richtung dorsal (Rücken) gebogen. Es sollten möglichst wenig Überlagerungen entstehen und der Gelenkspalt sollte komplett einsehbar sein. Vor allem der kaudale Anteil des Oberarmkopfes (Humeruskopfes) muss gut sichtbar sein.
Bitte hier das Röntgen mit Raster durchführen d.h. die Kassette wird unter den Tisch gelegt. (Der Rand des Oberarmkopfes muss deutlich zu sehen sein).
Als Kassettengröße wird das Format 18 x 24 cm empfohlen. Für alle Bilder ist eine korrekte Belichtung notwendig.
Jedes Bild muß fälschungssicher beschriftet sein. Gelenk sollte auch hier im Zentralstrahl liegen. Das zu röntgende Bein liegt auf dem Tisch auf und wird kräftig nach vorne (kranial) und das obere Bein wird kräftig nach hinten (caudal) gezogen. Der Kopf und der Hals wird Richtung dorsal (Rücken) gebogen.
Es sollten möglichst wenig Überlagerungen entstehen und der Gelenkspalt sollte komplett einsehbar sein. Vor allem der kaudale Anteil des Oberarmkopfes (Humeruskopfes) muß gut sichtbar sein. Bitte hier das Röntgen mit Raster durchführen d.h die Kassette wird unter den Tisch gelegt . (Der Rand des Oberarmkopfes muß deutlich zu sehen sein). Als Kassettengröße wird das Format 18 x 24 cm empfohlen. Für alle Bilder ist eine korrekte Belichtung notwendig.
eine seitliche Aufnahme
OC(D) beim Deutsch Drahthaar
Erklärung und Fallbeispiele:
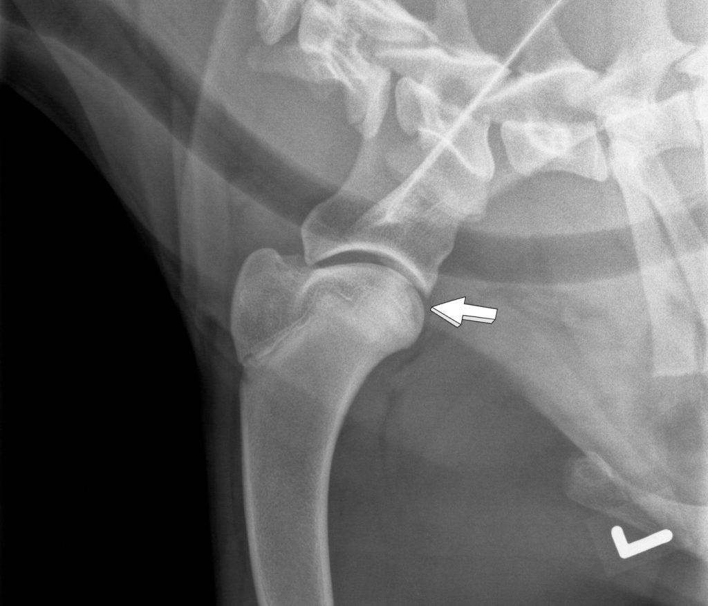
Bei dieser Erkrankung handelt es sich um eine Störung der Umwandlung des Knorpelgewebes in Knochengewebe im Bereich des Oberarmkopfes. Dieser bildet zusammen mit der Gelenkfläche des Schulterblattes das Schultergelenk. Während früher die Ursache für diese Veränderung durch falsche Ernährung und damit zu schnelles Wachstum erklärt wurde, wird heute von namhaften Wissenschaftlern ( großen Teils aus Amerika ) vor allem die Vererbung als wichtige Ursache für das Auftreten dieser zum Teil sehr schmerzhaften Erkrankung genannt. Dieser Verknöcherungsprozess des Knorpels ist gestört und wird somit nicht zu Ende geführt (inkomplette Ossifikation). Diese Störung wird als genetisch beeinflusst, beschrieben. Hieraus resultiert eine Verdickung des Gelenkknorpels. Die tieferen Schichten werden nicht mehr genügend durch die Gelenkflüssigkeit mit Nährstoffen versorgt. Der Knorpel kann einreißen, Gelenkflüssigkeit dringt in die Risse ein und kann Schmerzen verursachen. Bleibt es bei einem einfachen Einreißen des Knorpels, spricht man von OC ( Osteochondrose bzw Osteochondrosis ). Schreitet dieser Zustand aber weiter fort, können sich Knochen-Knorpelteilchen ablösen und dann als sogenannte freie Gelenkmäuse ( Dissekate ) im Gelenk umherschwimmen. Dann haben wir den Zustand einer OCD ( Osteochondrosis dissecans) erreicht. Erschwerend können diese freien Teilchen sich auf den Gelenkflächen neu festsetzen und damit durch Reibung zusätzlich Schmerzen verursachen.
Alles in allem kann sich also das Krankheitsbild der OC(D) sehr mannigfaltig darstellen.
Zum besseren Verständnis füge Ich einige Bilder an:
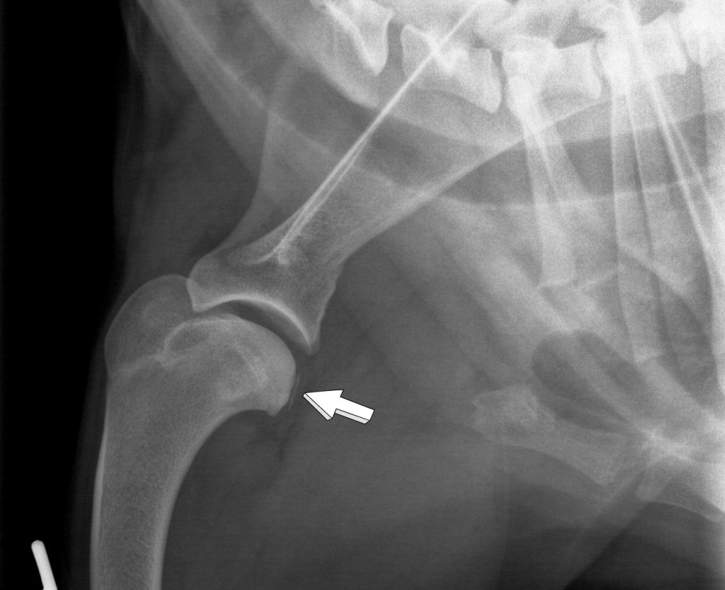
Bild 1 ( gesundes Schultergelenk )
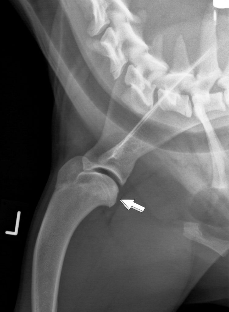
Bild 2 (Schultergelenk mit Osteochondrose)
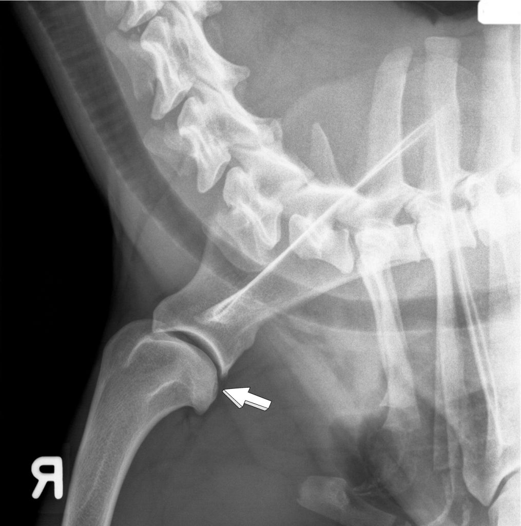
Bild 3 (Schultergelenk mit Osteochondrose)
Bild 4 (Schultergelenk mit Osteochondrose)
Bild 5 (Schultergelenk mit Osteochondrose)
Bild 6 (Schultergelenk mit Osteochondrosis dissecans) (leichte Form)
Bild 7 (Schultergelenk mit Osteochondrosis dissecans) (schwere Form)
Quelle:
Hereditary Bone and Joint Diseases in the Dog
Osteochondroses-Hip Dysplasia-Elbow dysplasia
Verfasser: Joe P. Morgan,Alida Wind, Autumn P.Davidson
Verlag: vet Schlütersche
(Bild 7 wurde dem oben genannten Buch entnommen (Seite 32)
Ich hoffe etwas zum Verständnis beigetragen zu haben.
Dr.med.vet. Peter Schunk
Skelettgutachter des VDD e.V.
